设为首页  加入收藏企业邮局
首 页 | 公司简介 | 产品展示 | 最新动态 | 联系我们 |  留言本 | 网上定购
 您当前位置:产品展示 -> Novacastra 试剂
产品名称 Lamin Antibody 核纤层蛋白抗体
详细说明:

核纤层蛋白(Lamin)是由中间丝蛋白组成的胞核骨骼结构称作核纤层蛋白,Lamin潜藏在核膜内部并且给予核膜机械性稳定作用。人Lamin由四个主要类型,各称为A,B1,B2和C。据报道LaminA在小细胞肺癌中丢失。Lamin B2为次要的核纤层蛋白有报道与Lamin B1共同表达。
产品特别说明
NCL-LAMIN-A与人,小鼠、大鼠、狗和牛组织的Lamin A反应。NCL-LAM-A/C与人,母牛和猪组织的Lamin A和C反应,NCL-LAM-B2与人和小鼠组织的Lamin B2反应。

 

 

 

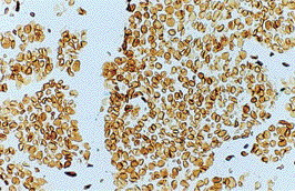
人乳腺癌:免疫组化染色Lamin B2采用NCL–LAM-B2。图示细胞核膜与所有细胞核内Lamin结构染色。冰冻切片(没有复染)。

克隆号

产品编号

规格

应用

制剂形式

 

133A2 Lamin A NCL-LAMIN-A 1ml F/P 冻干粉 说明书下载
636 Lamin A/C NCL-LAM-A/C 1ml/0.1ml F/P/W 冻干粉 说明书下载
LN43.2 Lamin B2 NCL-LAM-B2 1ml F 冻干粉

说明书下载

 
应用注解:
F
冰冻切片 P 石蜡切片 W 蛋白印迹 C 流式细胞 I 免疫荧光 E 电子显微镜 Hier 加热诱导抗原决定簇修复
泉晖贸易国际有限公司 版权所有 Copyright © 2007-2008 quanhui.net All Rights Reserved.